Η μόνιμη κολοστομία είναι δυνατό να αποφευχθεί ακόμη και στον πολύ χαμηλό καρκίνο του ορθού, υπό προυποθέσεις και σύμφωνα με τους κανόνες ογκολογικής ασφάλειας και λειτουργικής επάρκειας, προσφέροντας...
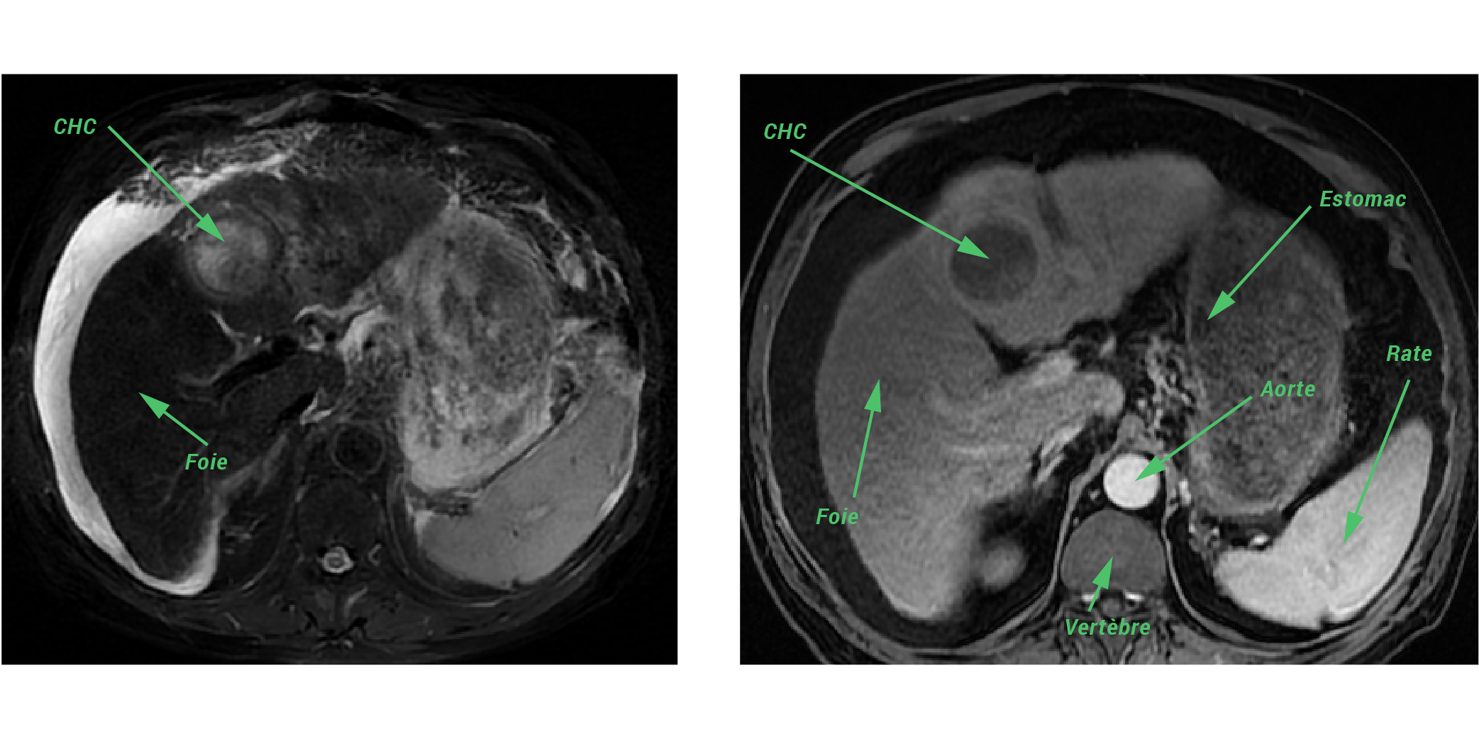
Τα τελευταία χρόνια έχει παρατηρηθεί αύξηση της συχνότητας των τυχαία ανακαλυπτόμενων βλαβών του ήπατος και των χοληφόρων, λόγω της αυξανόμενης χρήσης απεικονιστικών μεθόδων.
Η πλειονότητα των βλαβών ...
Απαιτείται συχνότερα σε χολολιθίαση : δηλαδή παρουσία λίθων εντός της χοληδόχου κύστεως.
Χολοκυστεκτομή (αφαίρεση χοληδόχου κύστεως)Η διάγνωση συνήθως γίνεται με ένα απλό υπερηχογράφημα.Η χολολιθίαση...
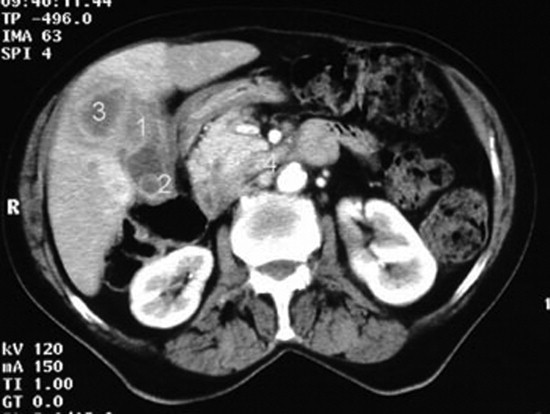
Ο καρκίνος χοληδόχου κύστεως είναι μία επιθετική κακοήθεια που πολύ συχνά ανακαλύπτεται τυχαία κατά τη διάρκεια απλής χολοκυστεκτομής .
καρκίνος χοληδόχου κύστεως